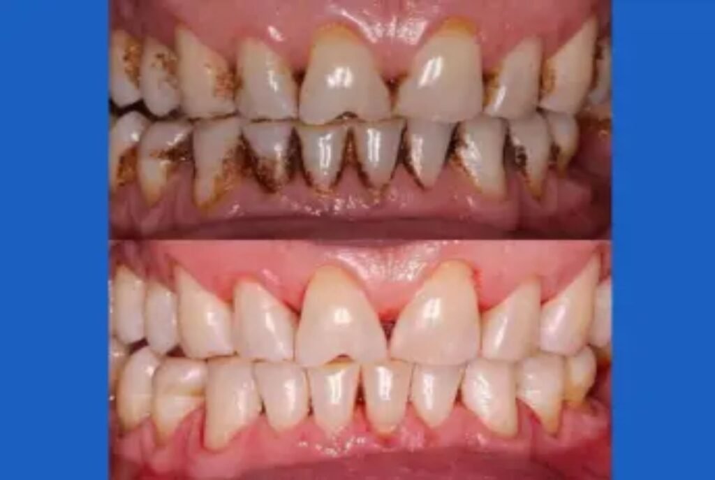
A bright and white smile plays an important role in creating a strong first impression. Many people feel conscious about yellow or stained teeth, which can affect confidence while speaking, smiling, or attending social events. Professional teeth whitening is one of the safest and most effective ways to improve the appearance of your smile. If you are searching for teeth whitening near Rayasandra Bangalore, choosing a trusted dental clinic can help you achieve fast and long-lasting results.
Residents living near Rayasandra, Kasavanahalli, and surrounding areas prefer professional dental clinics for cosmetic treatments because they provide safe procedures using advanced technology. Clinics like Rachana Dental Care offer modern teeth whitening treatments that remove stains and restore the natural brightness of teeth.
In this detailed guide, we will explain the benefits, procedure, safety, and reasons why choosing professionals is the best decision for your smile.
1. What Is Teeth Whitening Near Rayasandra Bangalore
Teeth whitening is a cosmetic dental procedure that removes stains and discoloration from teeth. Over time, teeth become yellow due to food habits, coffee, tea, smoking, or poor oral hygiene.
Professional teeth whitening near Rayasandra Bangalore uses safe whitening agents that clean deep stains without damaging the enamel. Unlike home remedies, clinical whitening gives faster and more noticeable results.
Dentists examine your teeth before starting the procedure to ensure safe and effective treatment.
2. Why People Choose Teeth Whitening Near Rayasandra Bangalore
Many people want a brighter smile but are unsure which treatment to choose. Professional whitening is popular because it is safe, quick, and long-lasting.
Reasons to choose teeth whitening near Rayasandra Bangalore:
- Removes yellow stains
- Improves smile appearance
- Boosts confidence
- Safe procedure
- Quick results
- Performed by experts
Visiting a professional clinic ensures better results compared to home kits.

3. Common Causes of Tooth Discoloration
Before choosing teeth whitening near Rayasandra Bangalore, it is important to understand why teeth become stained.
Common causes include:
- Coffee and tea
- Smoking and tobacco
- Poor oral hygiene
- Aging
- Soft drinks
- Certain medicines
Professional whitening removes these stains and restores the natural color of teeth.
4. Professional Teeth Whitening Near Rayasandra Bangalore vs Home Remedies
Many people try home remedies like baking soda, charcoal, or whitening toothpaste, but these methods may not give good results.
Professional teeth whitening near Rayasandra Bangalore is better because:
- Done by experienced dentist
- Safe chemicals used
- Quick results
- Even whitening
- Long-lasting effect
Home remedies may damage enamel if used incorrectly.
5. Procedure of Teeth Whitening Near Rayasandra Bangalore
The whitening procedure is simple and painless.
Steps followed in teeth whitening near Rayasandra Bangalore:
- Dental check-up
- Cleaning of teeth
- Applying whitening gel
- Using special light for activation
- Final polishing
The procedure usually takes 30–60 minutes.
Patients can see visible improvement immediately.
6. Benefits of Professional Teeth Whitening Near Rayasandra Bangalore
Choosing professional whitening has many advantages.
Benefits include:
- Brighter smile
- Safe treatment
- No damage to teeth
- Quick results
- Long-lasting whitening
- Improves confidence
Patients visiting Rachana Dental Care receive customized whitening treatment based on their tooth condition.

7. Who Can Get Teeth Whitening Near Rayasandra Bangalore
Most adults can safely undergo whitening treatment.
Suitable for:
- Yellow teeth
- Stained teeth
- Smokers
- Coffee drinkers
- People preparing for events
Dentists check the teeth before starting teeth whitening near Rayasandra Bangalore to ensure safety.
8. Is Teeth Whitening Safe
Professional whitening is completely safe when done by a dentist.
Clinics providing teeth whitening near Rayasandra Bangalore use approved whitening materials that do not harm enamel.
Safety depends on:
- Proper diagnosis
- Correct gel strength
- Professional application
Avoid using random online products without dentist advice.

9. How Long Does Teeth Whitening Last
Results from professional teeth whitening near Rayasandra Bangalore can last for months or even years.
Duration depends on:
- Food habits
- Smoking
- Oral hygiene
- Regular cleaning
Dentists may suggest touch-up whitening if needed.
10. Teeth Whitening Near Rayasandra Bangalore for Special Occasions
Many people choose whitening before special events.
Popular occasions:
- Wedding
- Interview
- Photoshoot
- Party
- Meeting
A bright smile improves confidence and appearance.
Professional teeth whitening near Rayasandra Bangalore gives quick results before important events.
11. Importance of Choosing Experienced Dentist
Whitening should always be done by a trained dentist.
Benefits of expert treatment:
- Safe procedure
- Proper shade selection
- No sensitivity problems
- Even whitening
Patients prefer Rachana Dental Care for cosmetic dental treatments because of experienced doctors and modern equipment.

12. Tips to Maintain White Teeth After Whitening
After teeth whitening near Rayasandra Bangalore, follow these tips:
- Avoid tea and coffee for few days
- Brush twice daily
- Use dentist recommended toothpaste
- Visit dentist regularly
- Avoid smoking
Good care keeps teeth white for longer time.
13. Modern Technology Used in Teeth Whitening Near Rayasandra Bangalore
Advanced clinics use modern technology for better results.
Equipment used:
- LED whitening light
- Laser whitening
- Ultrasonic cleaning
- Digital shade matching
Modern methods make teeth whitening near Rayasandra Bangalore faster and more comfortable.
14. Why Choose Rachana Dental Care for Teeth Whitening Near Rayasandra Bangalore
Choosing the right clinic is important for safe cosmetic treatment.
Rachana Dental Care is trusted for professional dental care.
Reasons to choose:
- Experienced dentists
- Advanced whitening technology
- Hygienic clinic
- Affordable treatment
- Comfortable environment
- Complete dental services
Patients looking for reliable teeth whitening near Rayasandra Bangalore prefer clinics with modern facilities.
15. Long-Term Benefits of Teeth Whitening Near Rayasandra Bangalore
Teeth whitening is not only cosmetic but also improves confidence and oral care habits.
Long-term benefits:
- Better smile
- Improved confidence
- Cleaner teeth
- Motivation for oral hygiene
- Professional appearance
Regular dental visits along with teeth whitening near Rayasandra Bangalore help maintain a bright and healthy smile.

Conclusion
A clean and white smile can improve confidence, appearance, and overall personality. Professional teeth whitening near Rayasandra Bangalore is the safest way to remove stains and get a brighter smile. With modern technology and experienced dentists, whitening treatment is quick, painless, and long-lasting.
If you are looking for safe cosmetic dental treatment, visit
Rachana Dental Care
for expert teeth whitening and complete dental care in Bangalore.
Regular dental visits and proper oral hygiene will help you maintain a confident smile for years.